CN CN
local anesthesia
The World's First to Achieve Local Anesthesia
Irreversible Electroporation
Irreversible electroporation technology increases the permeability of the cell membrane to ions and macromolecules when cells are exposed to short pulses of high-voltage electric fields, forming nanoscale pores. This effectively avoids unintended damage to surrounding non-target treatment areas caused by heat transfer, thereby reducing certain specific complications and adverse events.

Through broad-spectrum synergistic pulse parameter modulation, it overcomes the challenge of requiring "general anesthesia" for all existing pulsed electric field therapy devices, achieving "local anesthesia treatment." This effectively reduces surgical difficulty and lowers patient treatment costs, maximizing patient benefits.
Broadband Steep-Pulse Tumor Ablation Therapy Device(Wknife)

The world's first liver cancer ablation video

Ablation range
Ablation Range Breakthrough of 7 cm (Revolutionary Advancement)

Ablation Range Breakthrough of 7 cm (Revolutionary Advancement)

Ablation Range 4cm
Ablation Range 6.2cm
Ablation Range 7.4cm

Ablation Schematic Diagram

approaches
New Pathways in Local Therapy

By inducing irreversible electroporation in cell membranes and organelle membranes through broad-spectrum synergistic high-voltage pulsed electric fields, cell death is triggered, achieving non-thermal selective ablation of lesion tissues.

Local anesthesia, simple operation.

Expand range, enhance efficiency.

Clear imaging presentation, real-time visualization

Ablation zone can be simulated and customized, precise and controllable

Apoptotic cell death, complete ablation

Non-thermal selective killing, no prohibited zones

Advantage
Advantages of Broad-Spectrum Pulsed Ablation
Minimally Invasive with Local Anesthesia, Simple Operation
Minimally Invasive with Local Anesthesia, Simple Operation
Targeted sculpting or complete coverage of the lesion area can be achieved through the electrodes.
No muscle stimulation, no need for respiratory management or general anesthesia
Does not affect heart rate fluctuations, high safety
Under the guidance of ultrasound or CT, the lesion area can be precisely targeted for localized treatment.
01
Expand Range, Enhance Efficiency
Expand Range, Enhance Efficiency
mins High efficiency: single ablation session requires only 2-3 mins
Wide coverage: single treatment range can exceed 7 cm.
Reduce the number of needles and lower the procedural complexity
02
Novel Physical Ablation Cell Death Pathway
Novel Physical Ablation Cell Death Pathway
Targeted Irreversible Electroporation Induces Cellular Apoptosis
Promotes the release of tumor neoantigens and activates tumor immunity
No thermal damage, no heat sink effect
03
Precise Energy Delivery, Controllable Range
Precise Energy Delivery, Controllable Range
Precise sculpting and control of the ablation zone can be achieved using a single or multiple electrode needles
Personalized and precise calculation of electric field coverage to achieve effective destruction of target tissue
Ablation boundaries are clear, with precision controllable at the cellular level
The ablation zone is clearly visible under imaging
04
Broad applicability, breaking through traditional limitations
Broad applicability, breaking through traditional limitations
Can be performed in any organ or special site; electrodes can be placed near critical structures without concern for damage to vital tissues.
Maximizes the ability to provide personalized treatment tailored to the characteristics of the patient's lesion area.
Applicable for first-line treatment, downstaging therapy, and palliative care
05
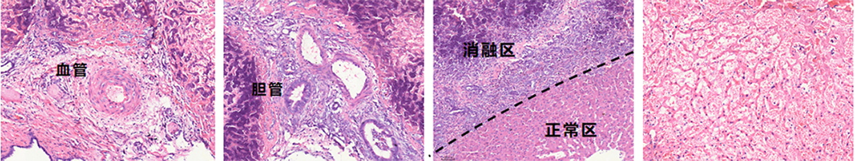
Eliminate lesions, minimize damage.
Eliminate lesions, minimize damage.
Preserve critical tubular structures within the target tissue, including blood vessels, nerves, bile ducts, pancreatic ducts, urethra, etc.
Preserve the extracellular matrix to promote histological and functional tissue regeneration after ablation.
06